
This training is accredited by EACCME with 9 CME credits This 3 half-day online course provides a comprehensive introduction to Cardiovascular Magnetic Resonance (CMR) for radiologists and cardiologists. The program combines expert-led lectures with individual case readings and interactive group discussions, allowing participants to gain both theoretical knowledge and practical experience.
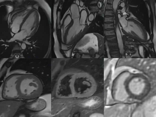
Through real-life clinical cases, participants will learn to recognized typical imaging patterns in ischemic and non-ischemic cardiomyopathies (incl. Dilated cardiomyopathies, Hypertrophic cardiomyopathies, Infiltrative cardiomyopathies and others), myocarditis, pericardial disease, cardiac masses and valvular disease. The course emphasised structured interpretation, reporting, and clinical relevance of CMR findings.
This fellowship is designed to build confidence in reading and interpreting CMR studies, preparing participants for independent practice or further subspeciality training.
CME accreditation
This radiology course is organised by Unilabs Academy, an EACCME Trusted Provider. An application has been made to the UEMS/EBR for CME accreditation for this event.
- Acquire fundamental knowledge of CMR physics, sequences, and protocols
- Develop confidence in evaluating common cardiac pathologies using CMR
- Improve skills in structured CMR reporting and communication with referring clinicians
- Understand clinical indications and the value of CMR in patient management
- Daily interactive lectures by experienced radiologist
- Individual and group-based CMR case reading sessions
- Revies of common and advanced cardiac cases
- Practical discussion on workflow, reporting, and clinical application
- Group case discussion
- Question and answer session with specialised radiologist mentor
This fellowship is ideal for radiologists and cardiologists with a basic understanding of cardiac imaging who wish to strengthen their knowledge and confidence in CMR interpretation.
Group Discounts for Radiology Education
Unilabs Academy is happy to offer group discounts to support radiology education within hospitals or practices. Please email us at academy.radiology@unilabs.com for details.
| Hardware | Tablets * | Minimum | Recommended |
|---|---|---|---|
| Memory (RAM): | 2 Gigabyte | 8 Gigabyte | 16 Gigabyte |
| Processor (CPU): | Dual core 1.85 Ghz | Dual core 2 Ghz | Quad core 2.5 Ghz |
| Internet connection | Minimum | Recommended | |
| Speed: | 10 Mbps | 25 Mbps | |
| Software | Tablets | Desktop | |
| Browser: | Safari * | Chrome ** | |
- * Tested with Safari on iPad 9.7 (2017), should also work on Android with Chrome. User interface not optimized for smaller screens. Large cases (more than 600 images) are not able to be opened on tablet or mobile devices due to memory consTableRowaints.
- ** Firefox, Edge and Safari also work but might not provide an equally smooth experience. Internet Explorer is not supported.


