Online Fellowship
Musculoskeletal Radiology, Neuroradiology
Level II
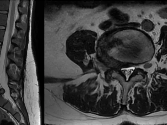
Improving MRI Reporting Accuracy for Degenerative Lumbar Spine
This online course aims to highlight the key areas of concern related to the lack of standardization in lumbar spine imaging, with a focus on terminology and interpretation discrepancies. Through the adoption of standardized interpretation guidelines, the course seeks to reduce subjectivity and improve accuracy in diagnosis and treatment through completing real-life cases on our Lumbar Spine Image Reporting Simulator and receiving immediate feedback from the experts who have designed the course.
€1000
Bank transfer available – please email at academy.radiology@unilabs.com
CME Accreditation Pending Submission

Description

The lumbar spine is a critical and complex anatomical region, and accurate imaging and diagnosis are crucial for effective management. However, inconsistencies in terminology and interpretation of lumbar spine imaging are common.

These discrepancies often lead to miscommunication between professionals, resulting in repeat imaging, additional consultations, and increased healthcare costs. Chronic lumbar spine conditions are a leading cause of disability and work absenteeism, affecting both individual livelihoods and overall economic productivity.

This fellowship will combine lectures from experienced lumbar spine experts, with reporting on real-life cases, participants will review a number of cases for each of the indicated topics.

On the final day, attendees will work through a comprehensive case, answering related questions, followed by a detailed review of the correct findings to conclude the course.


Unique Opportunity to Learn and Test Your Skills

This Fellowship is a unique concept. For each case available on the Reporting Simulator, you will answer specific questions related to the imaging issues and complete a questionnaire prior to the theoretical lecture. After the lecture, we will compare your initial responses with the post-lecture results to assess improvement, and everything will be reviewed by the Key Opinion Leaders who are directing the course.


Online Course - Learn Comfortably from Home or Office

Join Unilabs Academy’s online fellowships in a dynamic, interactive Zoom classroom where you'll be part of a small, supportive group. Engage directly with a radiology expert, ask questions freely, make mistakes without judgment, and receive personalized feedback.
Sessions are recorded allowing you to review and revisit the material at your own pace after the training.


This lumbar spine course is organised by Unilabs Academy, an EACCME Trusted Provider.


Testimonials:

🗨 “I have experience in spine reports, and I signed up for the course because of the quality of the speakers. I found it truly enriching, as it reviews in a practical and concise way all the key points that make up a spine report. By the end of the course, I think it really helps unify the participants’ criteria, which is quite difficult to achieve in this type of assessment. Highly recommended.” Dra. Rocío Diaz (Fellow, October 2025)

🗨 “This course offers excellent guidance on improving the accuracy and consistency of lumbar spine MRI reporting. The structured approach and practical focus make it particularly valuable in an area where small differences in interpretation can significantly impact patient management.” Dra. Mariana Gomes (Fellow, October 2025)

Learning Objectives
  • Accurately describe the MRI findings using standardized terminology. Develop consistency in reporting to improve interdisciplinary communication.
  • Identify central canal stenosis on MRI and apply grading criteria. Differentiate between central and lateral recess stenosis and their impact on nerve roots.
  • Identify foraminal stenosis on MRI and its impact on exiting nerve roots.
  • Evaluate and differentiate the various types of spinal disc herniations on MRI, including protrusions, extrusions, and sequestrations, using a standardized classification system.
  • Define spondylolisthesis and recognize its subtypes on MRI.
  • Comprehend the principles of structured MRI reporting for the lumbar spine, including critical elements such as: alignment, stenosis, disc pathology, nerve root involvement
Programme will include
  • Terminology Discrepancies: Variations and inconsistencies in the language used to describe lumbar spine conditions often lead to differing interpretations of the same findings, which in turn affect diagnosis and treatment plans.
  • The Role of Structured Reporting: The use of structured reporting systems helps to enhance clarity, reduce ambiguity, and improve communication between radiologists and referring physicians.
  • By addressing these discrepancies, the course aims to enhance the quality of radiological reports, ultimately improving the standard of care for patients with lumbar spine conditions.
Level
Level II - General radiologist

Payment Options

For card payment please proceed with the online checkout by clicking on the SIGN UP blue button.

For a bank transfer please email at academy.info@telemedicineclinic.com with the following details:

1. Full name (or company name)

2. Full address (or company address)

3. Tax identification number

4. Fellowship name

Group Discounts for Radiology Education

Unilabs Academy is happy to offer group discounts to support radiology education within hospitals or practices. Please email us at academy.info@telemedicineclinic.com for details.

Technical Requirements
HardwareTablets *MinimumRecommended
Memory (RAM): 2 Gigabyte 8 Gigabyte 16 Gigabyte
Processor (CPU): Dual core 1.85 Ghz Dual core 2 Ghz Quad core 2.5 Ghz
Internet connection Minimum Recommended
Speed: 10 Mbps 25 Mbps
Software Tablets Desktop
Browser: Safari * Chrome **
  • * Tested with Safari on iPad 9.7 (2017), should also work on Android with Chrome. User interface not optimized for smaller screens. Large cases (more than 600 images) are not able to be opened on tablet or mobile devices due to memory consTableRowaints.
  • ** Firefox, Edge and Safari also work but might not provide an equally smooth experience. Internet Explorer is not supported.
Lecturers
Laura Oleaga M.D. Ph.D.
Spain, Barcelona
Director of the European Diploma in Radiology EDiR and Director of the Corelab of the Monclinic Foundation.
Dr. Oleaga is renowned both nationally and internationally for her work in Radiology education and in the clinical applications of imaging in brain and head and neck tumours. She was the Head of the Radiology Department at Hospital Clínic de Barcelona (Spain) from 2009 until 2022 and External auditor within the ETAP programme (European Training Assessment Programme). Laura held the position of Professor of Radiology at the University of Barcelona from 2008-2022.
Carlos Schorlemmer M.D.
Spain, Barcelona
Head of Neuroradiology at TMC.
Over 20 years of experience in neuroradiology, with a special interest and scope of practice in spine reporting. Since joining TMC in 2004, Dr Schorlemmer M.D. has held the roles of Head of Radiology, Medical Director, and Caldicott Guardian. Under his leadership TMC implemented robust quality control and routine peer-review and peer-feedback processes.