
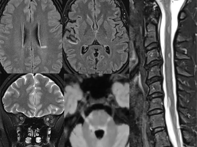
This training is accredited by EACCME with 9 CME credits This intensive 3-day MRI course is designed to enhance your expertise in the use of MRI for diagnosing and monitoring multiple sclerosis (MS) and other inflammatory demyelinating disorders of the central nervous system, such as NMOSD and MOGAD.
The course combines lectures, hands-on MRI case studies, and group discussions to provide a comprehensive understanding of these complex conditions.
This diagnostic imaging training is tailored for (neuro)radiologists and neurologists who are interested in specializing in inflammatory demyelinating disorders. The course ensures an intimate setting with limited participants that fosters personalized learning and active engagement.
📍 Benefits:
• Expert Guidance: Learn from experienced neuroradiologist and benefit from direct mentorship.
• Interactive Learning: Engage in hands-on case studies and discussions in a supportive, small-group environment.
• Enhanced Skills: Strengthen your diagnostic capabilities and apply new knowledge to clinical practice.
➡ Try 1 MRI case for free - Click here
Unilabs Academy radiology online courses are held in a virtual classroom on Zoom. Participants are encouraged to engage in discussions using their camera and microphone to recreate the face-to-face experience. In these small groups, all questions can be asked, you can make mistakes, and learn from each other with the support of the radiologist mentor.
This radiology fellowship is organised by Unilabs Academy, an EACCME Trusted Provider.
- Upgrade your knowledge by immersion in a learning environment without the distraction of daily practice to read brain and spinal cord MRI in different inflammatory-demyelinating disorders.
- Discriminate different inflammatory-demyelinating disorders from other conditions.
- Become familiar with the diagnostic criteria of different inflammatory-demyelinating disorders.
- Learn to construct an adequate report through structured reporting.
- Lectures on reading brain and spinal cord MRI for diagnosing multiple sclerosis and other inflammatory-demyelinating disorders of the central nervous system.
- Individual reporting on selected cases in PACS viewer with supervision/ immediate feedback by the radiologist mentor.
- Group case discussion.
- Access to all course materials via the Unilabs Academy radiology training platform, including discussed cases.
- Plenty of time for Q&A with the specialized radiologist mentor.
- Certificate of attendance - An application has been made to the UEMS/EBR for CME accreditation of this event.
Payment Options
For card payment please proceed with the online checkout by clicking the SIGN UP blue button.
For a bank transfer please email at academy.radiology@unilabs.com with the following details:
1. Full name (or company name)
2. Full address (or company address)
3. Tax identification number
4. Fellowship name
Group Discounts for Radiology Education
Unilabs Academy is happy to offer group discounts to support radiology education within hospitals or practices. Please email us at academy.radiology@unilabs.com for details.
| Hardware | Tablets * | Minimum | Recommended |
|---|---|---|---|
| Memory (RAM): | 2 Gigabyte | 8 Gigabyte | 16 Gigabyte |
| Processor (CPU): | Dual core 1.85 Ghz | Dual core 2 Ghz | Quad core 2.5 Ghz |
| Internet connection | Minimum | Recommended | |
| Speed: | 10 Mbps | 25 Mbps | |
| Software | Tablets | Desktop | |
| Browser: | Safari * | Chrome ** | |
- * Tested with Safari on iPad 9.7 (2017), should also work on Android with Chrome. User interface not optimized for smaller screens. Large cases (more than 600 images) are not able to be opened on tablet or mobile devices due to memory consTableRowaints.
- ** Firefox, Edge and Safari also work but might not provide an equally smooth experience. Internet Explorer is not supported.


