Online Fellowship
Abdominal Radiology, Onco Radiology
Level II
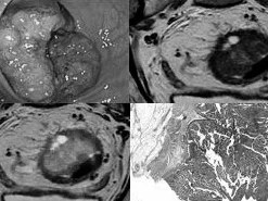
Rectal Cancer MRI Fellowship
This abdominal imaging fellowship will take participants through staging and restaging rectal cancer on MRI. Following a series of lectures, case readings, and discussions, Dr Stephanie Nougaret will share her vast knowledge on rectal cancer staging and restaging after neoadjuvant treatment.
€1000
Bank transfer available – please email at academy.radiology@unilabs.com
CME Accreditation Pending Submission

Description

Radiologists (to-be) who would like to become more confident on staging/restaging rectal cancer on MRI will find this abdominal imaging fellowship useful. This programme of 3 afternoons provides in-depth knowledge in the value of MRI during the management of rectal cancer.

Radiologists (to-be) will learn how to interpret staging and restaging MR images and deal with difficulties by evaluating numerous cases. After attending this course, the participants will not only be able to implement high-quality MR protocol in their own center but also will be able accurately interpret MR images both before and after neoadjuvant treatment.

Each module starts with a lecture. After the lecture you will be challenged with practicing on real anonymised key cases. After the individual case readings there will be an additional lecture followed by a ‘Questions and Answers’ session.

Participants will also benefit from using Dr. Nougaret's Rectal Cancer Staging Template which is also a take-home tool.

Unilabs Academy fellowships are held in a virtual classroom environment on Zoom. Participants are encouraged to engage in discussions making use of their camera and microphone in order to recreate the face-to-face experience.

In this small group environment among your peers, you are free to ask questions, make mistakes, and learn together with the support of the radiologist mentor.

This radiology course is organised by Unilabs Academy, an EACCME Trusted Provider.


Testimonials:

"Participating in this fellowship was an exceptional experience. Dr. Nougaret's expertise and systematic approach to rectal cancer staging and response assessment were truly enlightening. I wholeheartedly recommend this fellowship to any radiologist looking to deepen their knowledge and confidence in rectal cancer MRI." Olusola Patrick Bello, Consultant Radiologist, Telemedicine Clinic (Fellow, June 2024)

"I sincerely recommend the rectal MRI training. Great lectures and a large practical part make the training at the highest possible level and make it very desirable fore every day practice." Marta Dacka, Zamość, Poland (Fellow, June 2024)

"It was very useful joining the MRI rectum fellowship and learning from a very good mentor. Stephanie put us in the mind set of the surgeon answering their direct relevant clinical questions in staging Ca, rectum, assessment of the therapeutic response and looking for recurrence. It is very useful to know what are the surgeons looking for. Her approach to the cases was systematic and simple."
Dr. Magdy Soliman, Consultant Radiologist (UK) (Fellow, November 2023)

Learning Objectives
  • Upgrade your knowledge by immersion in a learning environment without distraction of daily practice to read rectal cancer MRI
  • Become familiar and feel confident with basic and early advanced MRI of rectal cancer as encountered in daily practice
  • Discriminate common variants from pathology to avoid pitfalls
  • Learn to construct an adequate report through structured reporting
Programme will include
  • Lectures on reading rectal cancer MRI for staging and assessing tumor response with quiz cases
  • Individual case reading and interpretation on provided cases
  • Group case discussion of the selected cases
  • Plenty of time for Q&A with the radiologist mentor
  • Lifetime access to presentation slides, session recordings, and other course materials
  • Access to discussed cases prior to and after the fellowship (for 1 year)
  • Your own personal dashboard and course materials on Unilabs Academy online platform
  • Certificate of attendance - An application has been made to the UEMS/EBR for CME accreditation of this event
Level
Level II - General radiologist

Level II/III - Subspecialisation training
Radiologists with little or with early advanced knowledge in rectal cancer MRI will benefit most from the fellowship.


Group Discounts for Radiology Education

Unilabs Academy is happy to offer group discounts to support radiology education within hospitals or practices. Please email us at academy.radiology@unilabs.com for details.

Technical Requirements
HardwareTablets *MinimumRecommended
Memory (RAM): 2 Gigabyte 8 Gigabyte 16 Gigabyte
Processor (CPU): Dual core 1.85 Ghz Dual core 2 Ghz Quad core 2.5 Ghz
Internet connection Minimum Recommended
Speed: 10 Mbps 25 Mbps
Software Tablets Desktop
Browser: Safari * Chrome **
  • * Tested with Safari on iPad 9.7 (2017), should also work on Android with Chrome. User interface not optimized for smaller screens. Large cases (more than 600 images) are not able to be opened on tablet or mobile devices due to memory consTableRowaints.
  • ** Firefox, Edge and Safari also work but might not provide an equally smooth experience. Internet Explorer is not supported.
Lecturers
Stephanie Nougaret M.D. Ph.D.
France, Montpellier
Consultant oncologic radiologist at the Cancer Institute of Montpellier, France
Stephanie Nougaret, MD, PhD, is a consultant oncologic radiologist at the Cancer Institute of Montpellier, France, with a focus on imaging of pelvic malignancies especially rectal cancer. Her research aims to develop and validate novel MRI biomarkers for assessing prognosis and treatment response in pelvic malignancies. For this purpose, she has received the prestigious ERC Starting Grant in 2022.